Naegleria claims two lives in Karachi, toll rises to four

Naegleria claims two lives in Karachi, toll rises to four
Updated on

Summary The number of deaths from the disease in Sindh has climbed to four in the ongoing year.

KARACHI (Dunya News) - Naegleria has claimed two more lives in Karachi, Dunya News reported on Sunday. The number of deaths from the disease in Sindh has climbed to four in the ongoing year.

According to details, Dr Majid Ismail Chandio, a neurosurgeon from Dadu, Sindh, was shifted to a private hospital in Karachi on July 6 after being diagnosed with disease where he died on Sunday

On the other hand, eight-year-old Zohaib Fahad a resident of Karachi’s Shadman Town died of the disease at a private hospital during treatment tthree days ago.

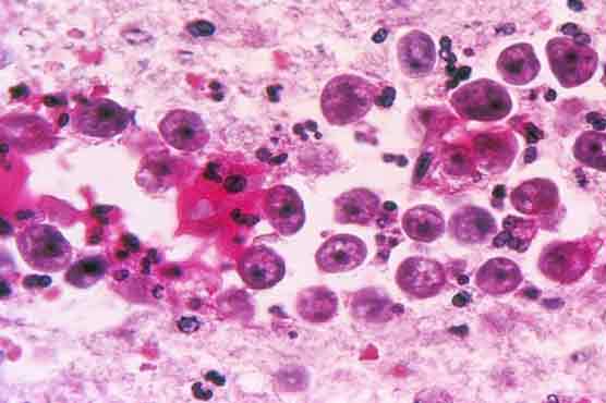
According to the researchers, Naegleria has a fatality rate of more than 98 percent. It is transmitted when contaminated water enters the body through the nose and cannot be passed person-to-person.

The amoeba travels from the nasal membranes to the brain. Symptoms are initially very mild, including a headache, stiff neck, fever and stomach pain. Death usually occurs five to seven days after infection.
 

Browse Topics